審美治療の症例実績
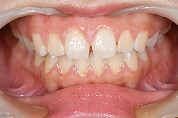
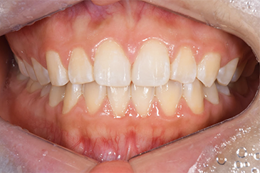
現在の治療費と異なる場合がございます。最新の治療費は料金表をご確認ください。前歯のセラミック症例
Before
After
基本情報
| 主訴 | 見た目をきれいにしたい |
|---|---|
| 治療期間 | 6ヶ月 |
| 治療費 | ジルコニアボンド(セラミックの被せもの)165,000円×7(税込み) オフィスホワイトニング4回 3,300円×4(税込み) ホームホワイトニング11,000円 |
| リスク・副作用 | かみ合わせがとても強い方の場合、稀に割れてしまうことがあります。 |
| 先生からの提案 | 上の前歯6本と右下の2番目の歯はセラミックの被せもので治療。 残りの下の前歯5本はプラスチックの材料で虫歯を治療し、 ホワイトニングをおこないました。白くなったご自身の歯の色に合わせてセラミックの 被せものを作成しています。 模型上で完成後をシュミレーションし、上の歯茎の位置をきれいに見えるように 揃えています。(外科処置はしていません) |
前歯のダイレクトボンディング症例
Before

After

基本情報
| 主訴 | 前歯の隙間をなおしたい |
|---|---|
| 治療期間 | 30分 |
| 治療費 | ダイレクトボンディング2歯 22,000円×2(税込み) |
| リスク・副作用 | かみ合わせがとても強い方の場合、稀に割れてしまうことがあります。 |
| 先生からの提案 | 上の前歯2本に虫歯はなく健康な歯を削りたくないため、 歯を削らずに自費のプラスチックの材料で治療しました。 |
Before

After

基本情報
| 年齢・性別 | 60代・女性 |
|---|---|
| 主訴 | 前歯隙間が気になる 左上1右上1 |
| 治療内容 | ダイレクトボンディング 専用の器具を使用し歯科用プラスチック (コンポジットレジン)を直接歯に盛り足して、 歯の形態や色を回復させます。 |
| 治療期間 | 1回 |
| 治療費 | 44,000円 (1本22,000円) |
| リスク・副作用 | プラスチック素材のため劣化し変色する。
汚れがつきやすく虫歯になる可能性がある。 噛み合わせによってはレジンが欠けたり 割れたりする可能性がある。 |
前歯のジルコニアボンド症例
Before

途中経過

After

基本情報
| 年齢・性別 | 20代・女性 |
|---|---|
| 主訴 | 前歯見た目気になる (右123番・左上123番) |
| 治療内容 | 右上123左上123 ジルコニアボンド |
| 治療費 | 990,000円 (ジルコニアボンド1本165,000円) |
| 治療期間 | 約2ヶ月 |
| リスク・副作用 | 歯軋りが強いと稀に割れることがある。 |
前歯と犬歯のセラミック症例(ジルコニア)
Before

After

基本情報
| 主訴 | 前歯をきれいにしたい |
|---|---|
| 治療期間 | 1ヶ月 |
| 治療費 | CR修復(保険) ジルコニアボンドクラウン(左上3番目の歯) 165,000円(税込み) |
| リスク・副作用 | かみ合わせがとても強い方の場合、稀に割れてしまうことがあります。 |
| 先生からの提案 | 上の前歯には古くなったCR(プラスチック)の着色と虫歯があるためCRで治療。 左上の犬歯は虫歯で神経が失活しまっていたため、 根管治療後にジルコニアボンド(セラミックの被せもの)をして治しました。 |
右上5番のジルコニア症例
Before

After

基本情報
| 年齢・性別 | 60代・男性 |
|---|---|
| 主訴 | 銀歯見た目気になる(右上5番) |
| 治療内容 | 右上5番をジルコニアに |
| 治療費 | 55,000円 (ジルコニア1本55,000円) |
| 治療期間 | 約1ヶ月 |
| リスク・副作用 | 3色のみの単色である。 噛み合う歯を痛めることがある。 |
左上5・6左下6・7番のジルコニア症例
Before

After

基本情報
| 年齢・性別 | 60代・男性 |
|---|---|
| 主訴 | 銀歯見た目気になる(左上5・6左下6・7番) |
| 治療内容 | 左上5・6左下6・7番をジルコニアに |
| 治療費 | 220,000円 (ジルコニア1本55,000円) |
| 治療期間 | 約1ヶ月 |
| リスク・副作用 | 3色のみの単色である。 噛み合う歯を痛めることがある。 |
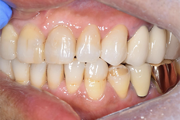
左下6銀歯を外して仮歯装着した症例
Before

After

基本情報
| 年齢・性別 | 30代・女性 |
|---|---|
| 主訴 | クラウン見た目気になる(左下6番) |
| 治療内容 | 左下6銀歯を外して仮歯装着 |
| 治療費 | 2,750円 (仮歯(テック)2,750円) |
| 治療期間 | 1回 |
| 治療方針 | 古い銀歯に隙間が出来て汚れが溜まっていました。 外してみると写真のように中に虫歯が出来ていました。 汚れが溜まっていたことで歯ぐきが炎症を起こしていたため、中の虫歯を取って仮歯を 歯ぐきに調和する形で作成し装着しました。(右の写真) 仮歯で歯ぐきの炎症が取れるのを待ちその後最終的なかぶせ物を入れる予定です。 |
セラミック症例
Before

途中経過

After

基本情報
| 年齢・性別 | 50代・男性 |
|---|---|
| 主訴 | 前歯見た目気になる(右123番・左上123番) |
| 治療内容 | オールセラミック(右123番・左上123番) |
| 治療費 | 660,000円 (オールセラミック1本110,000円) |
| 治療期間 | 約2ヶ月 |
| リスク・副作用 | 歯軋りが強いと稀に割れることがある。 |
Before

After

基本情報
| 年齢・性別 | 20代・女性 |
|---|---|
| 主訴 | 歯が痛い (左上6、7番) |
| 治療内容 | セラミックインレー(左上6、7番) |
| 治療費 | 110,000円 (セラミックインレー1本55,000円) |
| 治療期間 | 約1〜2週間 |
| リスク・副作用 | 稀に割れることがある。 凍みることがある。 再度虫歯になる可能性がある。 |
セラミックインレーと
ジルコニアインレーの症例
Before

部位拡大写真

After

基本情報
| 年齢・性別 | 40代・女性 |
|---|---|
| 主訴 | 虫歯気になる 全体的に銀歯をやりかえたい 右上4567 |
| 治療内容 | セラミックインレー(右上456番) ジルコニアインレー(右上7番) |
| 治療費 | 209,000円 (セラミックインレー1本55,000円) (ジルコニアインレー1本44,000円) |
| 治療期間 | 約2週間 |
| リスク・副作用 | ジルコニアインレーは硬いため噛み合わせの歯を傷付ける可能性がある |
右下奥歯のセラミックインレー
Before

途中経過

After

基本情報
| 年齢・性別 | 50代・女性 |
|---|---|
| 主訴 | 銀歯を白くしたい 右下67 |
| 治療内容 | 右下67セラミックインレー |
| 治療費 | 110,000円 (セラミックインレー1本55,000円) |
| 治療期間 | 約1~2週間 |
| リスク・副作用 | 稀に割れることがある 凍みることがある 再度虫歯になる可能性がある |
左上奥歯のセラミックインレー
Before

途中経過

After

基本情報
| 年齢・性別 | 20代・男性 |
|---|---|
| 主訴 | インレー見た目気になる 左上67 |
| 治療内容 | 左上67セラミックインレー |
| 治療費 | 110,000円 (セラミックインレー1本55,000円) |
| 治療期間 | 約1~2週間 |
| リスク・副作用 | 稀に割れることがある 凍みることがある 再度虫歯になる可能性がある |
ジルコニアクラウンとハイブリットセラミック
インレー
Before

途中経過

After

基本情報
| 年齢・性別 | 20代・女性 |
|---|---|
| 主訴 | 虫歯 右上456 |
| 治療内容 | 右上4:ジルコニアクラウン 右上56:ハイブリットセラミックインレー |
| 治療費 | 121,000円 (ジルコニアクラウン1本55,000円) (ハイブリットセラミックインレー1本33,000円) |
| 治療期間 | 約1~2週間 |
| リスク・副作用 | ジルコニアクラウン:硬いので噛み合う歯を傷めることがある。 ハイブリットセラミックインレー:経年的に変色する。割れることがある。 |
左下奥歯のジルコニアインレー
Before

After

基本情報
| 年齢・性別 | 30代・女性 |
|---|---|
| 主訴 | 虫歯 左下567 |
| 治療内容 | 左下567ジルコニアインレー |
| 治療費 | 132,000円 (ジルコニアクラウン1本44,000円) |
| 治療期間 | 約2週間 |
| リスク・副作用 | ジルコニアインレー:天然の歯より硬いので噛み合う歯を痛める可能性がある |
左上67のセラミックインレーの症例
Before
After
After

| 年齢・性別 | 20代・男性 |
|---|---|
| 主訴 | 虫歯 左上4 |
| 治療 内容 |
左上4 セラミックインレー |
| 治療費 | 55,000円 セラミックインレー1本55,000円 |
| 治療期間 | 1〜2週間 |
| リスク・副作用 | 稀に割れることがある 凍みることがある 再度虫歯になる可能性がある |
左上4のセラミックインレーの症例
Before
After
After

| 年齢・性別 | 40代・女性 |
|---|---|
| 主訴 | 虫歯 左上4 |
| 治療内容 | 左上4 セラミックインレー |
| 治療費 | 55,000円 セラミックインレー1本55,000円 |
| 治療期間 | 1〜2週間 |
| リスク・副作用 | 稀に割れることがある 凍みることがある 再度虫歯になる可能性がある |
左上567のセラミックインレーの症例
Before
After
| 年齢・性別 | 20代・女性 |
|---|---|
| 主訴 | 銀歯を変えたい 左上567 |
| 治療内容 | 左上567 セラミックインレー |
| 治療費 | 165,000円 セラミックインレー1本55,000円×3本 |
| 治療期間 | 1〜2週間 |
| リスク・副作用 | セラミックインレーは割れることがある |
右上45のセラミックインレーの症例
Before
途中経過
After
| 年齢・性別 | 20代・男性 |
|---|---|
| 主訴 | 虫歯 右上45 |
| 治療内容 | 右上45 セラミックインレー |
| 治療費 | 合計110,000円 セラミックインレー1本55,000円×2本 |
| 治療期間 | 約1〜2週間 |
| リスク・副作用 | セラミックインレーは割れることがある |
右上6ジルコニアインレーの症例
Before
After
| 年齢・性別 | 20代・男性 |
|---|---|
| 主訴 | 右上奥歯が痛い 右上6 |
| 治療内容 |
右上6ジルコニアインレー 右上45には歯と歯のあいだに見えない虫歯があったため ハイブリットセラミックインレーで治療 |
| 治療費 |
合計110,000円 ハイブリットセラミックインレー1本33,000円×2本 ジルコニアインレー1本44,000円 |
| 治療期間 | 約2週間 |
| リスク・副作用 |
凍みることがある 再度虫歯になる可能性がある ハイブリットセラミックインレー割れることがある 経年的に変色する ジルコニアインレー硬い素材のため噛み合う歯を痛める可能性がある |
右上1番2番左上1番ジルコニアステインクラウンの症例
Before
After
| 年齢・性別 | 30代・女性 |
|---|---|
| 主訴と治療部位 | 上の前歯の形と色が気になる 右上1番2番左上1番 |
| 治療内容 | 右上1番2番左上1番 ジルコニアステインクラウン |
| 治療費 | 合計346,500円 ・内訳 ジルコニアステインクラウン:110,000円×3本 仮歯:5,500円×3本 (2023年4月現在) |
| 治療期間 | 約2ヶ月 |
| リスク・副作用 | 天然の歯に比べて噛み合わせや舌触りに違和感を感じる可能性がある。 歯が欠けたり削れてしまうことがあるため就寝時にマウスピースを使用していただく。 |
| 治療方針 | 右上1番2番左上1番を仮歯に置き換え、噛み合わせ・形態を何回か確認及び修正し最終的な被せ物を型どりし装着しました。 |
| 特記事項 | 精密な色味を再現するのが難しい |
| 担当者所見 | 患者さまご自身の歯の色味を再現することができました。 形態も患者さまの希望に添えとても喜んでくださいました。 今後はマウスピースを使用していただき定期検診での通院となります。 |
症例:審美治療 1
Before
After
| 年齢・性別 | 30代・女性 |
|---|---|
| 主訴と治療部位 | 左上2番の根管治療後CRではなく被せ物にしたい。以前他院で治療した被せ物の左上1番、右上2番の歯と歯ぐきの境目の隙間が気になる。前歯の左上1~2番.右上2番 |
| 治療内容 | 左上1番~2番、右上2番仮歯に置き換え、左下2番が前出しているため下顎前歯の部分矯正で整えた後、白くしたいと希望があったためホワイトニングをし、左上1~2番、右上2番の被せ物の型どりをしセットしました。 |
| 治療費 | 合計:664,500円 (内訳) 前歯下顎部分矯正:120,000円 仮歯院内制作1本:5,500円×3歯 ジルコニアボンドクラウン:528,000円※自由診療 (2023年4月現在) |
| 治療期間 | 約8ヶ月 |
| リスク・副作用 | 天然の歯に比べて硬いためかみ合わせに慣れるまで時間がかかることがある。過度な力がかかるとまれに割れてしまうことがある |
| 治療方針 | 右上1番2番左上1番を仮歯に置き換え、かみ合わせ・形態を何回か確認及び修正し最終的な被せ物を型どりし装着しました。 |
症例:審美治療 2
Before
After
レントゲン撮影

| 年齢・性別 | 30代・男性 |
|---|---|
| 主訴と治療部位 | 主訴:右上の前歯に鼻の下押すと響くような違和感がある。前歯を綺麗にしたい。 部位:右上2番、右上1番、左上1番 |
| 治療内容 | 右上2番は被せ物、右上1番、左上1番はコンポジットレジンで隙間をうめた |
| 治療費 | 右上2番 合計126,500円 ジルコニアステイン 121,000円 仮歯5,500円 右上1番、左上1番 コンポジットレジン約3,000円 (保険適用3割負担) (2024年7月現在) |
| 治療期間 | 1年7ヶ月 |
| リスク・副作用 | ・仮歯の期間中は仮歯はプラスチック製のため壊れやすく取れやすいです。硬いもの粘着質な食事はお控えいただく。 ・歯ぎしり、食いしばりが強いと被せ物が欠けたり割れることがあるため、マウスピースで保護する必要があります。 ・セット後はかみ合わせが高い感じやきつい感じがすることがあるが1週間程度で慣れてきます。 |
| 治療方針 | ・右上2番は再根管治療必要でしたが、根が前歯に2根ある珍しい症例だったため大学病院で根管治療を依頼し、根管治療後に仮歯に置き換え、被せ物の型どりをしました。 ・右上1番、左上1番間の隙間をコンポジットレジンで埋めて見た目も改善しました。 |
症例:審美治療 3
Before
After
| 年齢・性別 | 40代・女性 |
|---|---|
| 主訴と治療部位 | 主訴:他院で前歯の治療途中だが通えなくなった為、見た目を美しく、形も変えて被せ物を作りたい 部位:右上1.2番左上1.2番 |
| 治療内容 | 根管治療と歯冠長延長術を行い被せ物をつくり直した。 |
| 治療費 | 合計 640,200円 •フルジルコニアステイン 121,000円×4本 •仮歯 5,500円×4本 •FBコア 16,500円×4本 •歯冠長延長術 55,000円 •オフィスホワイトニング2回照射×2 13,200円 (2024年12月現在) |
| 治療期間 | 約6ヶ月 |
| リスク・副作用 | ・噛み合わせが高い、きついなどの違和感を覚えることがありますが、1週間程度で慣れてきます。 ・仮歯はプラスチック製なので割れやすいため食事には気をつけていただく。 |
| 治療方針 | 根の先に膿がないかを確認する為CT撮影をして精査し、右上2番と左上2番には膿が見つかった為、再根管治療し根管治療後土台を立て直しました。 また右上2番の歯が小さく見えるのを改善希望されたので、歯冠長延長術という歯ぐきを下げる処置を行いました。 仮歯を作成し、噛み合わせなど気になるところを確認後被せ物の型取りをしました。 |
| 特記事項 | 被せ物の型取りの前にオフィスホワイトニング行いを全体的に色味をトーンUPしました。 |
症例:審美治療 4
Before
After

| 年齢・性別 | 50代・男性 |
|---|---|
| 主訴と治療部位 | 前歯の形が気になる。 右上2~左上3番 右下2~左下2番 |
| 治療内容 | ジルコニアステイン |
| 治療費 | 合計1,152,500円 内訳 ジルコニアステイン 1本121,000円×9本1,089,000円 仮歯 1本5,500円×9本 合計49,500円 歯周病治療 歯石除去 SC全顎 約2,000円(保険診療3割負担) SRP全顎 1回約2,000円×6回 合計約12,000円(保険診療3割負担) (2025年1月現在) |
| 治療期間 | 約1年 |
| リスク・副作用 | セット後かみ合わせが高い・きついなどの違和感を覚えることがあります。 神経を残して削った場合、しみる・噛んだ時に痛むなどの症状がでることがあります。 |
| 治療方針 | 歯周病がかなり進行しており歯周病治療と同時進行で古い被せ物を除去し仮歯に置き換えました。 仮歯を何度か修正し歯ぐきが安定したのを確認し最終的な被せ物を作製しました。 |
| 特記事項 | 仮歯はプラスチック製のため取れやすく壊れやすいため、仮歯装着期間中は固いもの・粘着質なものを控えていただく。 |
| 担当者所見 | 今後他の歯の虫歯治療と定期的なクリーニングにて経過を診ていきます。 |
西永福駅前歯科・矯正歯科 診療内容
患者さまのお悩みを解決する総合診療の西永福駅前歯科・矯正歯科
西永福駅前歯科・矯正歯科では虫歯治療から美しい歯を実現する審美歯科(歯のセラミック)やホワイトニング、歯を失ってしまった方へのインプラントや入れ歯まで総合診療を提供いたしております。
急な痛みや取れた外れたなどお口の中で何かお困りのことございましたらお気軽にご相談下さい。